目立ちにくく違和感の少ない
マウスピース矯正をおすすめしています
歯列矯正というと、歯を固定して長期間ワイヤーが見えている状態のイメージでしょう。しかし、マウスピース矯正は、これまでの歯列矯正に用いられてきたワイヤー・ブラケットなどは使用せず、透明なマウスピースを使用します。
-

ワイヤー (ブラケット) 矯正
■ ブラケットやワイヤーの矯正装置が目立つ
■ 装置を調整して数日間は痛みや違和感がある
■ 歯磨きがしづらかったり食べ物が詰まりやすい
-

マウスピース矯正
■ 透明のマウスピースを用いるため目立たない
■ 食事や歯磨きの際に取り外しが可能
■ 金属アレルギーの心配がない
マウスピース矯正のメリット
透明だから装着しても目立たない
通常の歯科矯正と異なりワイヤーなどがなく、透明のクリアなので装着していても外から目立ちません。
洗浄・着脱可能
自身の歯をワイヤーで固定するのではなく、専用のマウスピースを装着しての矯正になります。
そのため、着脱・洗浄が常時可能で不自由がありません。
痛覚を刺激しない
ソフト・ミディアム・ハードの3種を交互に10日おきで使用します。
歯を固定・削るのではなくマウスピースの力で徐々に歯の位置を整えていくので、痛みを極力抑えることができます。
気軽に始められる
マウスピースを作るまでの時間が非常に短く、最短10日程度から治療をスタートすることが可能です。
他の歯科治療も並行できる
毎回マウスピースの作成を行います。そのため、虫歯など治療も可能です。
国内製品仕様
国内の大手矯正専門ラボが提供するものなので、品質が保証されています。
また、マウスピースの作成も国内で専門技術を持った技工士が行うので、患者様にフィットする製品の提供が可能です。
マウスピース矯正のデメリット
対応できる症状に限りがある
マウスピースによる矯正は前歯の矯正や、歯と歯の間を埋めるなどが主な適応症状です。
それ以外の抜歯や上下の噛みあわせが悪いといった症状には対応が難しくなります。
装着時間の厳守
マウスピース型という事もあり、着脱は患者様の任意で行えます。しかし、一定時間以上装着していないと、矯正効果が出てきません。(通常は就寝時間も含めて17時間です) あらかじめ決められた装着時間を厳守する必要があります。
都度歯形が必要
ソフト・ミディアム・ハードのマウスピースを使って、その都度歯形を作り直します。それによって徐々に矯正を行うので、その都度マウスピースの作成が必要です。通常1カ月おきに再制作します。何か理由があって来院が難しい場合は、あらかじめ3ヵ月分を作ることも可能です。
その他の注意事項
・食事の際はマウスピースを取り外してください。
・着脱は自由ですが、効果を得るには22時間以上の装着が必要です。
患者様のご管理の上での矯正治療であることをご理解した上でご利用ください。
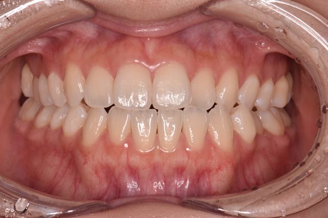
症例紹介
BEFORE
AFTER
| 年齢 | 28歳 女性 |
|---|---|
| 治療期間 | 12ヶ月間 |
| 治療内容 | 矯正治療 |
| 主訴 | 歯並びが気になる |
| 治療費 | 770,000円 (税込) |
| リスク・副作用 | 顎関節に不調をきたす。嚙み合わせが理想通りにならない。 |
治療費について
- 矯正診断
-
7,700円(税込)
- 矯正処置料
-
月1回を限度として 5,500円(税込)
- 部分矯正
(1~2歯を動かす程度) -
矯正装置装着 88,000円(税込) ワイヤー交換・清掃等 5,500円(税込)

- マウスピース矯正
-
通常 770,000円(税込) 軽度のもの 44,000円(税込) リテーナー (片顎) 22,000円(税込) リテーナー (追加) 8,800円(税込)
- ブラケット・リテーナー除去
-
1歯 (他院で行ったもの) 2,200円(税込)
- マウスピース
-
自費・再作製 27,500円(税込)
キャッシュレス決済対応
クレジットカード・キャッシュレス決済は全ての治療で対応しております。

デンタルローン
経済的な理由で治療を諦めていた方も、理想の治療を受けていただけるようにデンタルローンを取り扱いしております。
分割払いが可能になるため、高額な治療費も月々の負担を抑えて始められます。


